Haber Dairesi
FOTO GALERİ
SON HABERLER
KÜNYE
Güncel
Köşe Yazıları
Siyaset
Ekonomi
Türkiye
3. Sayfa
Konya
Spor
Sağlık
Eğitim
Yaşam
GÜNDEM TAKİBİ :
22:24
Konyaspor bahis operasyonuna adı karışan Ndao için kararını verdi
22:08
A Milli Takım'ın Dünya Kupası'ndaki muhtemel rakipleri belli oldu
21:22
Konya’da kar yağışı başladı
20:22
Yanan otomobilin yanında Ferdi Özdemir’in başsız cesedi bulundu
19:53
Korkutan kaza! İtfaiyeciler ölümden döndü
19:47
Konya’nın değerli yerinde ve Türkiye’de ilk! Kendini göstermeye başladı
18:35
Konya’da şok eden olay! Spor salonunun soyunma odasına tarım ilacı döktü
18:09
Tartıştığı adamı 17 yerinden bıçakladı
17:55
Ziraat Türkiye Kupası kura çekiminde Galatasaray krizi
17:53
Konya’nın beklediği yağış geldi! Hafta sonu için uyarı var
Konya
7 °C
Altın
5751.73
BIST
11007.37
Dolar
42.5271
Euro
49.5232
Sterlin
56.7023
Ana Sayfa
Denizli Haberleri
Denizli Haberleri
Refüje çarpan araç hurdaya döndü
Mezarlıkta yaşayan Halil Doğan ölü bulundu
KONYA YOLUNDA KADIN ELİ TIR DİREKSİYONUNDA FARK KATIYOR
Dedektif gibi iz süren kadın kocasını parkta bastı
Korkuluksuz balkon ölüme götürdü
Eski kulüp yöneticisi silahla vurulmuş halde ölü bulundu
Genç doktor, yatalak annesini saatlerce döverek komaya soktu
Bilim ve doğanın birleştiği eşsiz yay bilim severleri ağırladı
Satranç masasından şehrin doğasını keşfe uzanan şampiyona
Bütün gün tarlada çalıştı, döndüğü evinde korkunç halde bulundu
Piknik keyfi faciayla bitti! Kocası öldü, kadını balıkçılar kurtardı
Polis memuru eşi ve 2 çocuğunu öldürüp canına kıymıştı! Yeni detaylar çıktı
Kan donduran olay! Polis memuru ailesini ve kendini öldürdü
Arkadaş şakasında bıçaklanarak öldürüldü
KONYA’YA GETİRİLEN ÇALINTI DORSE FİLM GİBİ OPERASYONLA BULUNDU
1,5 milyon lira dolandırdı! Kolundaki dövme şahsı ele verdi
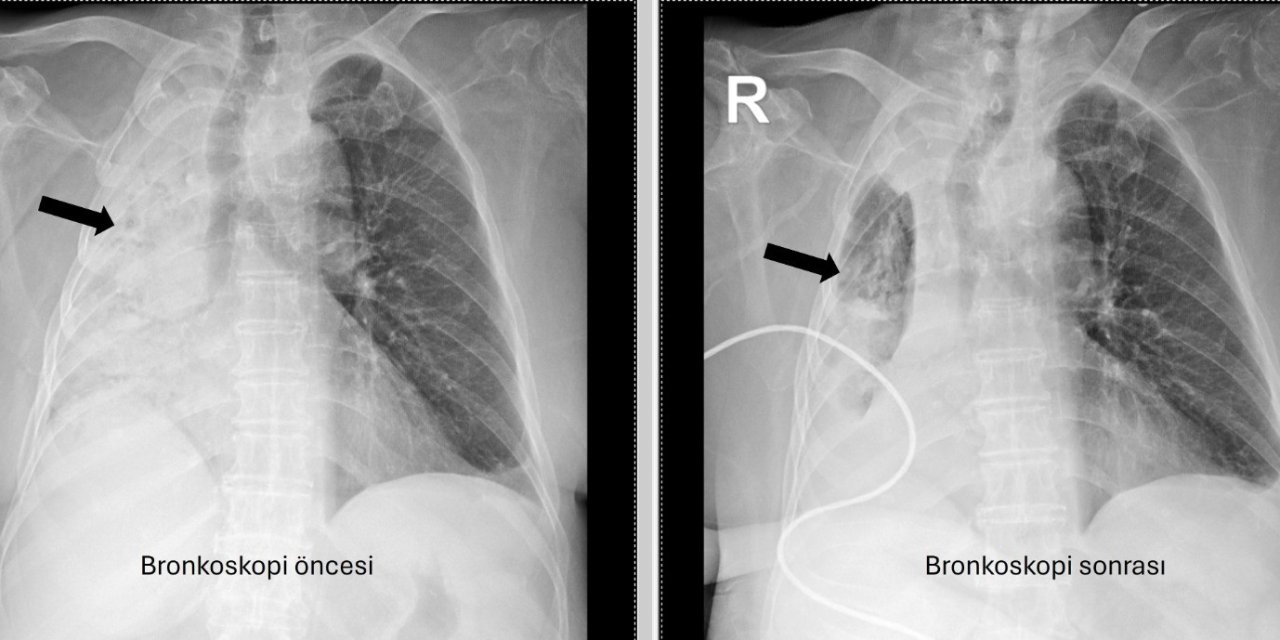
5 ay önce yediği pizza akciğerini tamamen kapattı
Altınlarla kaybolan damat geri döndü! Eşi ilk kez konuştu
Sahte eskortlardan 12 milyonluk tuzak
Şeker kaydırma oyunu hayatını kararttı! 3 günlük damat takılarla kayboldu
Hasat bekleyen yaşlı çiftçinin emeği ziyan oldu
SAMAN YÜKLÜ TIR DEVRİLDİ! KONYALI SÜRÜCÜ ADEM İNCE HAYATINI KAYBETTİ
Bağlı yaşadığı yatak mezarı oldu! 80 yaşındaki kadın yangında öldü
Serada çalışan 26 işçi zehirlendi
Lüks villada 11 milyonluk sahte eskort ve avukat vurgunu
Boğazı kesilerek öldürüldü! İhbar eden trans birey ve arkadaşı adliyede
Otobüste tesettürlü kadına saldıran şüpheli gözaltına alındı
Tarladan geldi, yere yığıldı! Çiftçiyi alaca renkli yılan soktu
Tesettürlü kadın 2 yaşındaki kızının yanında saldırıya uğradı
Karne günü okulda kavga eden iki öğretmene soruşturma
56 yaşındaki adam dere yatağında ölü bulundu
Kimyasal su kazanına düşen işçi öldü
7 ayda 140 olay, 20 milyonluk vurgun
Aparttaki gizli kamera skandalında şaşkına çeviren ifade: Fantezi için yaptım
Günlük kiralık evde gizli kamera bulundu
Elektrik telleriyle temas eden yük asansörü gencin sonu oldu
Besicinin feci ölümü! Yem karma makinesine düştü
Kurt, kurbanlık kuzuları telef etti
Türkiye'yi sarsan vahşet! Annesinin sevgilisi tarafından öldüresiye dövüldü
Otomobil elektrik direğine çarptı: 2 ölü, 1 yaralı
Traktörle otomobilin çarpıştığı kazadan acı haber
Çocuklarını görme günü kabusa döndü! Eski eşini ve baldızını bıçakladı
Kötü koku kayıp pilotun acı gerçeğini ortaya çıkardı
Çöp konteynerindeki dehşetten yasak aşk çıktı
Ersun Yanal'a 1 hafta arayla ikinci acı haber
6 ilde acele kamulaştırma çalışmaları yapılacak
Çöpten bebek cesedi çıktı
Cezaevinden izinli çıktı; sokak ortasında eski eşini canice katletti
1
2
3
4
5
6
Haberler
Son Haberler
Manşetler
Güncel
Köşe Yazıları
Siyaset
Ekonomi
Türkiye
3. Sayfa
Konya
Spor
Sağlık
Eğitim
Yaşam
Dünya
Kültür-sanat
Diğer İçerikler
Foto Galeri
Web TV
Yazarlar
Gazete Manşetleri
Kurumsal
Künye
İletişim
Gizlilik İlkeleri
Kullanım Şartları
Geliştiriciler İçin