Çıkan kitle hayrete düşürdü! Tam 5 kilo 668 gram
Diyarbakır Dicle Üniversitesi Hastanesi’nde 42 yaşındaki H.T.’nin bacağından 5 kilo 668 gramlık kitle çıkarıldı. Prof. Dr. Emin Özkul, küçük ve ağrısız şişliklerin önemsenmesi gerektiğini vurgulayarak hastaların mutlaka uzmanlara başvurmasını önerdi.
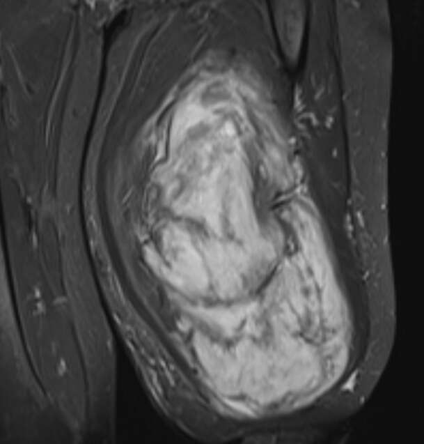
Mardin’de yaşayan 42 yaşındaki H.T., üç yıl önce sağ baldırının arka kısmında fark ettiği yumurta büyüklüğündeki şişliğin giderek büyümesi üzerine Dicle Üniversitesi Tıp Fakültesi Hastanesi’ne başvurdu. Yapılan muayenede yumuşak doku kitlesi olduğu belirlenen şişlik için Ortopedi ve Travmatoloji Anabilim Dalı Öğretim Üyesi Prof. Dr. Emin Özkul ve ekibi ameliyat kararı aldı. Yaklaşık iki saat süren operasyonla çıkarılan kitlenin ağırlığının 5 kilo 668 gram olduğu açıklandı.
“UZUV KAYBINA NEDEN OLABİLİR”
Prof. Dr. Emin Özkul, vücutta oluşan kitlelere erken dönemde müdahale edilmesi gerektiğini vurguladı. Özkul, Mardin’den gelen 42 yaşındaki hastanın üç yıl önce fark ettiği küçük şişliğin zamanla yaklaşık 6 kiloya ulaştığını ve tüm bacağı kapladığını belirtti. Bu tür büyümelerin fonksiyon kaybına, hatta uzuv kaybına yol açabileceğini söyleyen Özkul, “Küçük ve ağrısız şişlikler önemsenmeli, mutlaka uzman kontrolünden geçmeli. Erken müdahale hem tedaviyi kolaylaştırıyor hem de sakatlık riskini azaltıyor.” dedi.

“MESLEK HAYATIMDA GÖRDÜĞÜM EN BÜYÜK KİTLE”
Prof. Dr. Emin Özkul, vücutta görülen kitlelerin ihmal edilmemesi gerektiğini vurguladı. Hastanın üç yıl önce başlayan şikâyetlerinin zamanla hızla büyüyen bir kitleye dönüştüğünü belirten Özkul, “Şanslıydı ki sinirlerine zarar vermemişti ve yaşamına fonksiyon kaybı olmadan devam edebilecek. Ancak küçük de olsa yumuşak doku kitleleri mutlaka ciddiye alınmalı ve uzman görüşü alınmalı. Bu hastadan 5 kilo 668 gramlık bir kitle çıkardık, meslek hayatımda gördüğüm en büyüklerden biriydi. Biraz daha büyüse bacağını kurtarmak mümkün olmayabilirdi. Bu nedenle hızlı büyüyen, ağrısız bile olsa şişliklerde vakit kaybetmeden sağlık kuruluşlarına başvurulmalı.” diyerek düşüncelerini aktardı.


Kaynak:DHA




Türkçe karakter kullanılmayan ve büyük harflerle yazılmış yorumlar onaylanmamaktadır.