Her şey hastane muayenesinde ortaya çıktı! 3 kişi gözaltına alındı
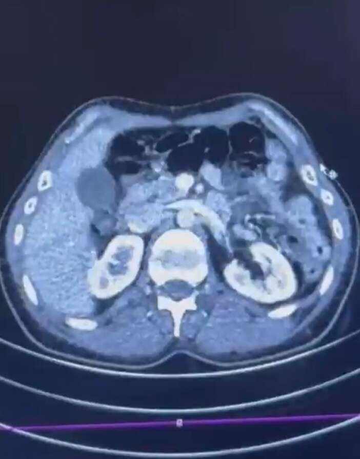
İran'dan Türkiye'ye gelen 3 kişinin hastane muayenelerinde, midelerinde 50 adet kapsül şeklinde toplam 554 gram uyuşturucu olduğu ortaya çıktı. Şüpheliler gözaltına alınarak haklarında 'Uyuşturucu Madde Ticareti Yapmak' işlem başlatıldı.
İran'dan Türkiye'ye gelen 3 kişinin hastane muayenelerinde, midelerinde 50 adet kapsül şeklinde toplam 554 gram uyuşturucu olduğu ortaya çıktı. Şüpheliler gözaltına alınarak haklarında 'Uyuşturucu Madde Ticareti Yapmak' işlem başlatıldı.
Kayseri Narkotik Suçlarla Mücadele Şube Müdürlüğü ekiplerince uluslararası uyuşturucu madde ticareti yapan kurye şahıslara yönelik çalışma başlatıldı.
Ekipler, İran’dan Türkiye'ye uyuşturucu madde getirdiği tespit edilen şüpheli şahısların yakalanması amacıyla operasyon düzenlendi. Düzenlenen operasyonda; S.C., R.B.C. ve G.M. yakalandı. S.C. ve R.B.C.'nin Kayseri Şehir Hastanesi'nde yapılan iç beden muayenelerinde, mide kısımlarında bulunduğu tespit edilen 50 adet kapsül şeklinde toplam 554 gram uyuşturucu madde ele geçirildi.
Şüpheliler gözaltına alınarak haklarında 'Uyuşturucu Madde Ticareti Yapmak' işlem başlatılırken, Kayseri İl Emniyet Müdürlüğü'nden yapılan açıklamada, "Uyuşturucu ve uyarıcı madde satıcılarına karşı yürüttüğümüz mücadele aralıksız ve kararlı bir şekilde devam edecektir" ifadelerine yer verildi.

Kaynak:İHA


Türkçe karakter kullanılmayan ve büyük harflerle yazılmış yorumlar onaylanmamaktadır.