Milyonda bir görülüyor! Ölüm riskine rağmen bıçak altına yattı, sağlığına kavuştu
Kahramanmaraş'ta görme kaybı başlayan Ayşe Gül'ün (56) beyninde ceviz büyüklüğünde tümör tespit edildi. Ölüm riskine rağmen ameliyat olmayı kabul eden Gül’ün beynindeki tümör ameliyatla alındı. Ayşe Gül, “Riski aldım, çok şükür bir şey de olmadı” dedi.
Kahramanmaraş'ta yaşayan Ayşe Gül'ün yaklaşık 1 yıl önce gözlerinin görme yetisi yavaş yavaş azalmaya başladı.
Bunun üzerine gittiği göz doktoru, sorunun göz sinirlerinde erimeye bağlı olduğunu ve tedavisinin olmadığını söyledi.
Hem Kahramanmaraş'ta hem de çevre illerdeki hastanelerin doktorlarına başvuran Gül'e farklı farklı teşhis konuldu ancak gözleri iyileşmedi.
1 yılın sonunda gözlerindeki görme oranı iyice düştü. Son olarak gittiği doktorun 'Nedeni beyinden olabilir' demesi üzerine Gül, Kahramanmaraş Sütçü İmam Üniversitesi Sağlık Uygulama ve Araştırma Hastanesi Beyin ve Sinir Cerrahisi Anabilim Dalı Öğretim Üyesi Doç. Dr. İdiris Altun'a başvurdu.
YÜZDE 80 ÖLME RİSKİYLE AMELİYATA GİRDİ
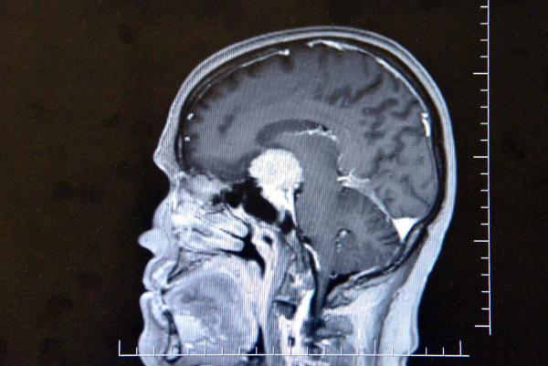
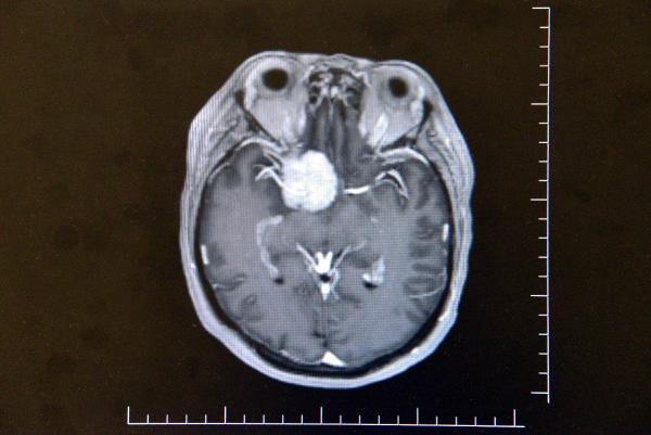
Altun tarafından yapılan muayene ve tetkiklerde Gül'ün beyninde ceviz büyüklüğünde tümör olduğu ve gözündeki sorunun tümörden kaynaklandığı tespit edildi. Altun, Ayşe Gül'e acilen ameliyat olması gerektiğini ancak tümörün ana şah damarlarının olduğu bölgede olmasından dolayı ölüm riskinin yüzde 80, yaşaması halinde ise felç kalma ihtimalinin de çok yüksek olduğunu söyledi. Tüm riskleri kabul eden Gül, Altun tarafından ameliyata alındı. Ameliyatı beyni açmak yerine endoskopik yöntemle gerçekleştiren Altun, tümörü Gül'ün burnundan çıkardı.

“MİLYONDA BİR KARŞILAŞTIĞIMIZ DURUM”
Altun, beyindeki tümörün hayati risk oluşturacak büyüklükte olduğu için acilen ameliyata aldıklarını söyledi. Çok riskli olmasına rağmen hem sorunsuz bir şekilde sonuçlandığını hem de neşter kullanmadan kapalı yöntemle yapıldığını belirten Altun, şöyle devam etti:
"Hastamız görme şikayetiyle ilgili birçok yere gitmiş ancak hastalıkla ilgili bir teşhis konulamamış. En son çekilen filminde ana şah damarlarını tamamen saran, görme sinirini tamamen kapatan, solunumla hayat merkezinin önünde geniş bir kitle olması üzerine hasta tarafıma geldi. Hastayı değerlendirdikten sonra endoskopik yöntemle kamera eşliğinde burundan girerek ceviz büyüklüğünde, 3,5 santim genişliğindeki kitleyi almaya karar verdik. Hastamız tüm riskleri kabul etti. Tabi burada önemli olan ana damarlar üzerinde geçmesi, ana damarlarını sarması, görme sinirinin üzerinde olması ve solunum merkezine doğru ilerlemesi bir risk faktörüydü. Biz bununla ilgili gerekli tedbirlerimizi aldıktan sonra ameliyata girdik. Ameliyatta başarılı bir şekilde gerçekleşti, herhangi bir görme sinirinde, ana damarlara veya solunum hayat merkezine dokunmadan tümörü tamamen burundan temizledik. Hastamız gayet iyi rahat. Beynin orta yerinde taban bölgesinde dediğimiz, 3,5 santim ebadında, ceviz büyüklüğündeki tümörümüz solunum hayat merkezinin önünü kaplaması ve oraya doğru ilerlemesi,sağ ana damarlara doğru ilerleyip tamamen içerine alması ve hipofiz bezini alttan yukarı doğru sarması, bu ebada ulaşması milyonda bir oranda gözükür. Biz bu tümörü, burundan girilerek endoskopik yöntemle tamamen ana damarlara herhangi bir zarar vermeden çıkarttık.''

“SOLUNUM DURMASINA SEBEP OLABİLİR”
Tümörün incelenesi için laboratuvara gönderildiğini belirten Altun, "Bu tümör, büyümeye devam eden bir tümör. Büyümeye devam ettiği zaman, hayati solunum merkezini kapladığı için solunum durmasına sebep olabilir. Kalp merkezine yakın bir tümür olduğu için de kalple ilgili sıkıntılara neden olabilir. Ayrıca ana şah damarlarının hepsini sardığı için hastada kalıcı felçliğe neden olabilir. Ayrıca hipofiz bezine de bastığı için hormonal bozukluklara, büyüme hormonu gibi hormonları etkileyerek ciddi manada hayati riskleri oluşturabilirdi" diye konuştu.

“RİSKİ ALDIM, ÇOK ŞÜKÜR BİR ŞEY DE OLMADI”
Ayşe Gül, ameliyatın ardından sağlığına kavuşurken, 3 gün sonra da taburcu edildi. Birçok doktora gittiğini ancak hiç kimsenin kendisine doğru bir teşhis koyamadığını belirten Gül, kendisini ameliyat eden Altun'a teşekkür etti. Ameliyatın neştersiz yapılmasından dolayı da çok mutlu olduğunu belirten Gül, şunları dedi:
"Gözüm az görmeye başlayınca göz doktorlarına gittim. Birisi, 'gözünün sinirleri eriyor, geriye dönüş yok' dedi. Başka birine gittim o da 'Göz vitaminsiz kalmış' dedi. Baktım gözüm gidiyor başka bu defa Adana'ya gittim ve oradaki doktor da 'Gözünde katarakt başlangıcı var' dedi. O da bir şey anlamayınca Hatay İskenderun'a gittim, orada MR istediler. Nöroloji, beyin cerrahına sevk etti, o da İdiris beye sevk etti. Allah razı olsun ameliyatımı yaptı iyi olduk. Ameliyat riskliydi ve doktor ameliyat öncesi 'Felç olabilirsin, ölüm tehlikesi var, kör kalabilirsin' diyerek riskleri anlattı. 'Riski alıyorum' dedim, çok şükür bir şey de olmadı."


Kaynak:DHA


Türkçe karakter kullanılmayan ve büyük harflerle yazılmış yorumlar onaylanmamaktadır.